Ортодонтия
В стоматологических клиниках сети «Медея» ведут приём врачи-ортодонты. Эти специалисты занимаются исправлением неправильного положения зубов, прикуса, а иногда и внешнего вида лица, его профиля; исправлением наклона и иного неправильного положения зубов перед имплантацией и другими видами протезирования. Но чаще всего пациентами доктора-ортодонта являются дети и подростки. Им ортодонты могут быть полезны также и для коррекции речевых и дыхательных нарушений.
Мы собрали наиболее часто возникающие вопросы и постарались кратко ответить на них.

Работа нашего врача стоматолога-ортодонта Суховой О.О.
Когда стоит обращаться к детскому ортодонту в Рязани?
Первый визит в кабинет врача стоит запланировать на 3,5-5 лет. В этот период у ребёнка формируется прикус, появляется реальная опасность первого нарушения, которое предстоит лечить в будущем.
Ещё одна значимая для здоровья пора — с 6-ти до 8-ми лет. Именно в это время происходит смена молочных зубов на коренные. Среди особенностей возраста — рост челюстных костей. В 8-9 лет у ребёнка активно формируется фронтальный участок челюсти, во многом влияющий на эстетику улыбки, нормальную дикцию, профиль лица.
Возможно ли исправление прикуса у взрослых?
Установка брекетов и использование других ортодонтических методов возможна в любом возрасте. Меняется только время, которое потребуется на лечение. Потому мы рекомендуем не откладывать с посещением кабинета ортодонта в Рязани, в нашей клинике. Если в перспективе лечение неправильного прикуса занимает слишком много времени или кажется пациенту сложным, врачи иногда обходятся изменением положения всего нескольких зубов.



Что такое дистальный прикус?
Дистальный прикус — одно из самых распространённых нарушений прикуса.
При таком варианте прикуса верхний зубной ряд выдвинут вперёд по отношению к нижнему. Меняется профиль лица, западает нижняя губа, иногда верхние зубы выступают из-под губы, меняется речь, нарушаются контакты зубов в боковых отделах. С возрастом все эти изменения могут сказываться и на состоянии височно-нижнечелюстного сустава, на тканях пародонта, на стираемости зубов. Поэтому исправление ситуации является и эстетической и функциональной необходимостью, а также профилактикой очень многих проблем в зубочелюстной системе.
Коррекция дистального прикуса — это по сути более чем оправданные инвестиции в красоту и здоровье!
В детском и подростковом возрасте, когда можно повлиять на рост челюстей, их взаимное положение, прикус можно именно изменить. У взрослых проводится коррекция прикуса для достижения компенсации.
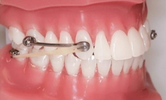
Новейшие системы для лечения дистального прикуса
Одним из современных и эффективных методов исправления дистального прикуса является аппарат Carriere Motion 3D.

Он является несъёмным, малозаметным, фиксируется на зубах, не создаёт дискомфорта при ношении и сложностей в уходе. Этот аппарат используется перед ношением брекет-системы, позволяет переместить нижнюю челюсть вперёд и создать правильные контакты зубов в боковых отделах. После ношения его в течении 6 месяцев устанавливается брекет-система, которая завершает начатую работу, внося коррективы в положение передних зубов до достижения наилучшего эстетического результата.
Для чего используется установка брекетов?
Установка брекетов — одна из важных частей комплексного ортодонтического лечения. Она используется со многими другими технологиями, среди которых: рентгенодиагностика, фотометрия, цифровое моделирование, диагностические модели. Врачу нужно провести глубокую диагностику, чтобы понять, потребуется ли для устранения проблемы удаление зубов или использование других видов радикального вмешательства.

Чем друг от друга отличаются брекеты?
По своему строению брекеты — это замки для каждого зуба. Через них проходит дуга, оказывающая давление и выравнивающая весь зубной ряд. В зависимости от материала изготовления, все брекеты разделены на пластиковые, стальные, керамические и сапфировые. Они отличаются по степени заметности. Ещё один параметр отличия — расположение. Есть лингвальные и вестибулярные системы. Первые крепятся к поверхности зуба изнутри, вторые — снаружи.
Чем отличаются лигатурные и безлигатурные (самолигирирующие) брекеты?
Наиболее популярными и демократичными по стоимости являются лигатурные брекеты. В нашей клинике используются как полные, так и частичные брекет-системы для различных возрастных периодов.
Самолигирующие (безлигатурные) брекет-системы по стоимости выше лигатурных. Какие их преимущества оправдывают более высокую цену?
-
Во-первых, они более аккуратно и изящно выглядят и менее заметны на зубах, так как на замочках отсутствуют резиновые лигатуры.
-
Во-вторых, за ними проще ухаживать, у них более сглаженный рельеф и, как следствие, комфортнее ношение.
-
В-третьих, активировать их надо реже и визитов к врачу требуется меньше (не чаще 1 раза в 2 месяца).
Как правило, ожидаемый эффект лечения достигается с большим комфортом и раньше, чем при использовании лигатурных систем.
В нашей клинике используются пассивные системы безлигатурных брекетов. Именно они считаются самыми физиологичными и наиболее мягко воздействуют на зубные ряды.

Что такое ортодонтические мини-винты?

В ряде случаев брекеты используются с применением дополнительных опор и точек приложения силы — мини-винтов.
Ортодонтические мини-винты устанавливаются в кость челюсти на период ортодонтического лечения. Они незаметны со стороны и во рту ощущаются как округлая кнопка. Чаще всего они используются в качестве опоры для ортодонтической тяги, когда у пациента нет одного или нескольких зубов, а исправить положение оставшихся нужно с косметической целью или перед подготовкой к протезированию.
Процедура установки мини-винтов не болезненная, проводится под местной анестезией. Конечно же, приложенные силы и тяга брекет-системы в первые дни может вызывать дискомфорт и болезненность, так как зубы перемещаются в костной ткани.
Достаточно ли одной установки брекетов, чтобы исправить прикус?
Это зависит от степени изменения прикуса и пациента. Некоторым придётся носить трейнеры, пластинки или ретейнеры, чтобы вернуть положение зубов в норму. Подробную консультацию вам даст ортодонт.
Для чего нужны трейнеры и когда их лучше ставить?
Трейнер — это специальное приспособление, изготовленное из силикона. Обычно он носится пару часов днём, ставится на всю ночь. Трейнер нормализует тонус мышц, позволяет переместить язык в нужное положение. Помогает сформировать прикус у детей раннего возраста. В зависимости от ситуации, могут устанавливаться сначала мягкие начальные, потом более жёсткие окончательные трейнеры. Продолжительность лечения — от 6-ти месяцев. Благодаря этому во взрослом периоде может не потребоваться установка брекетов.
Как ортодонты используют пластинки?
Детский ортодонт в Рязани старается использовать наиболее щадящие методы исправления прикуса, выравнивания зубов, устранения других аномалий развития зубного ряда. В период с 5-ти до 12-ти лет, рекомендуется лечение с использованием съёмных пластин. Они оснащаются дугами, пружинами и другими элементами, помогают поменять положение челюстных костей, направить их рост. В зависимости от специфики, врач может использовать как двухчелюстные, так и одночелюстные пластинки.
Пластины для исправления прикуса могут быть также и несъёмными. Как правило, они применяются для быстрого и эффективного расширения верхней челюсти. Такие аппараты устанавливаются на нёбе и крепятся к зубам колечками и накладками. Снимать их не нужно, но нужно проводить активацию винта по назначенным доктором дням. К таким пластинкам относятся аппараты Марко Росса, Хааса. Конечно же, ношение съёмных и несъёмных аппаратов требует тщательной гигиены полости рта: чистки зубов и аппарата после каждого приёма пищи. При невозможности почистить — очень тщательно прополоскать водой.
Элайнеры: незаметная альтернатива брекетам?
Брекеты давно уже перестали восприниматься как «ужасная скобка на зубах». Наоборот, ношение брекетов подчёркивает определённый статус и говорит о серьёзном отношении к своему здоровью и внешнему виду.
Но в некоторых случаях всё равно хочется, чтобы ничто не привлекало внимание к зубам, а они тем временем незаметно выстраивались красиво и ровно.
В этих ситуациях на помощь могут прийти элайнеры — съёмные прозрачные каппы из медицинского силикона или пластика, которые надеваются на зубной ряд. Они мягко воздействуют на неправильно расположенные зубы, подталкивая их в нужном направлении.
Показаниями к элайнерам не могут быть абсолютно любые проблемы с прикусом. Существуют тяжёлые аномалии, при которых не обойтись без хирургических вмешательств на челюстях. Сложные и запущенные ситуации с прикусом также зачастую невозможно устранить только при помощи элайнеров.
В любом случае, показана ли Вам коррекция прикуса элайнерами, расскажет доктор при очном обследовании.
Если есть показания, то работа проводится следующим образом.
1. Обследование и диагностика. На этом этапе делаются рентгенограммы (ОПТГ, ТРГ, КТ) снимаются оттиски (слепки) челюстей, изготавливаются модели, производятся расчёты и цифровое планирование.
2. По результатам диагностики подбирается и индивидуально изготавливается по цифровым оттискам набор капп (сет).
3. После очистки поверхности зубов на некоторые из них на переднюю поверхность эмали устанавливаются точечные незаметные накладки из фотокомпозита — аттачменты. Они нужны, чтобы точно направить вектор воздействия каппы и для её лучшей фиксации.
4. Доктор надевает каппу и объясняет, как ею пользоваться и назначает дату следующего визита.
5. Каппу нужно носить не менее 18-ти часов в день. Можно и нужно снимать перед гигиеническими процедурами и на время приёма пищи. Для окружающих она практически незаметна, под неё не забиваются остатки пищи, каппа не оказывает болезненного давления на зубы, но, конечно же, требуется незначительное привыкание к ней.
6. Замена каппы на следующую из сета производится на приёме у доктора, когда оценены результаты и эффективность установленной.
7. Длительность лечения и кратность визитов, как и количество капп в наборе определяется индивидуально по результатам обследования и по оценке эффективности лечения.
В клинике «Медея» возможно провести коррекцию прикуса элайнерами Star Smile. Мы стараемся придерживаться политики демократичных цен и качества лечения!